Comprehensive Cardiovascular Services
Cardiac Catheterization & Coronary Angiography
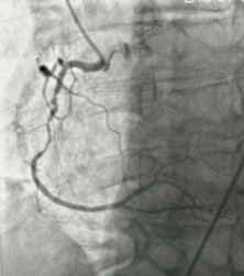
Cardiac catheterization procedure performed in a specialized hospital lab.
About this service
What Is Cardiac Catheterization & Coronary Angiography?
- Cardiac Catheterization and Coronary Angiography (CATH) is a specialized procedure used to evaluate the coronary arteries — the blood vessels that wrap around the heart and supply it with oxygen-rich blood.
- During the procedure, a thin flexible tube (catheter) is inserted through an artery in the wrist or groin and guided to the heart. A colorless contrast dye is injected, allowing detailed X-ray images to show whether any coronary arteries are narrowed or blocked, and the exact location and severity of the blockage.
- Cardiac catheterization also provides important information about heart muscle function and can assess whether the heart valves are working properly.
- If a significant blockage is found in the coronary arteries, treatment such as balloon angioplasty or stent placement may sometimes be performed during the same procedure.
What to expect
The procedure is performed in a specialized hospital setting under local anesthesia and mild sedation. Most patients are able to go home the same day or shortly after observation, depending on the findings and treatment performed.
Angiogram showing detailed images of the coronary arteries and areas of narrowing.
Comprehensive Heart Care Since 1993
- We provide in-office heart and vascular testing and hospital-based procedures when needed.
- We have served adults and seniors for more than 33 years.
- Medicare & CalOptima accepted.
- We are the leading and largest enhanced external counter pulsation (EECP) therapy facility in the west coast. See eecp.health
Schedule a Consultation
Concerned about blocked arteries or ongoing chest discomfort? Schedule a consultation to determine if cardiac catheterization is right for you.