Comprehensive Cardiovascular Services

Chest X-ray (CXR)

Our staff performs digital chest X-rays efficiently and safely in our office.

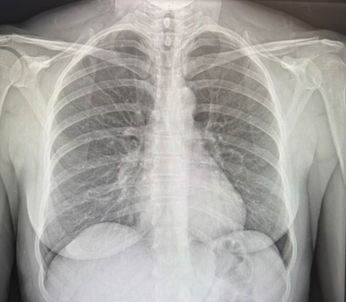
Example of a digital chest X-ray used to evaluate the heart and lungs.

About this service

What Is an Chest X-ray (CXR)?

What to expect

Our equipment is digital. The test usually takes only a few minutes. You will stand briefly while images are taken. The amount of radiation is extremely low, and the images are reviewed by our medical team as part of your overall cardiovascular assessment.

Comprehensive Heart Care Since 1993

Schedule a Consultation

If you’re concerned about symptoms—or simply want a thorough check-up—our team is ready to help.
Scroll to Top

Dr. Aanita Weber

Our Founder & Lead Developer
Dr. Aanita Weber, MD, is the founder and lead developer of Nasal Bioactive. In her late twenties, she combines a deep clinical understanding with a passion for translating scientific insight into innovative wellness solutions
After completing her medical degree at Heidelberg University she trained in medicine with a specialization in otolaryngology, Dr. Weber has dedicated her early career to exploring how targeted interventions in the nasal and sinus passages can enhance human health and sensory experience.
Since founding Nasal Bioactive, she has led the development of advanced intranasal formulations and experimental bioactive compounds, combining rigorous clinical methodology with inventive product design. Her work focuses on translating scientific insight into safe, effective, and forward-thinking solutions for everyday wellness.
Outside her professional work, Dr. Weber engages with emerging wellness technologies, enjoys exploring sensory experiences, and advocates for science communication that makes complex medical concepts accessible.